من منا لم يتعرض لنزلة برد حادة؟ أو التهاب في الحلق؟ فهذه أنواع من العدوى أو الفيروسات يمكن السيطرة عليها بالدواء سواء كان سائلا أو أقراصا، ولكن هناك عدة أمراض وعدوى ليس لها علاج، والتي يتمنى الكثير منا عدم وجودها وانتهائها، إليكم 5 أنواع من العدوى الشائعة في العالم.

1. الفطريات الجلدية التي تتغذى على الكيراتين: يعتبر كل شبر من الجلد على جسم الإنسان عرضة للغزو بواسطة الفطريات الجلدية، وأبرزها الفطريات التي تزدهر على الكيراتين، وهو البروتين الهيكلي والرئيسي في طبقات البشرة الخارجية، حيث توجد الفطريات الجلدية في البيئات الرطبة، مع فروة الرأس والفخذ وأصابع القدمين التي تعتبر أماكن مليئة بالفطريات، فالعدوى في تلك الأجزاء من الجسم هي المسؤولة عن السعفة فروة الرأس "التينيا"، حكة جوك "سعفة النخاع"، والقدم الرياضي "سعفة القدم"، كما يمكن أن تنتقل الفطريات الجلدية من شخص إلى آخر أو من الحيوانات الأليفة إلى الناس، كما يمكن أن تعيش على المناشف وفرشاة الشعر والملابس وغيرها من الأشياء.

2. التهاب الملتحمة الفيروسي: هذا الشعور الغاضب الذي تشعر فيه بفرك الرمال على مقل العيون هو أحد الأعراض الشائعة لالتهاب الملتحمة أو كما يعرف بالانجليزية "Conjunctivitis"، والمعروف شعبيًا باسم الخنصر، فعادًة يكون هذا الشعور ناجم عن مسببات الحساسية أو غيرها من المهيجات، أو عن طريق البكتيريا أو الفيروسات، حيث يكون الأخيران مسؤولين عن الشكل المسبب للمرض، كما أن التهاب الملتحمة المعدية شديد العدوى، حتى بمجرد مشاركة منشفة أو من خلال حمام السباحة.

3. الكلاميديا: وهو مرض صامت، يعتبر معظم الناس الذين يصابون بهذا المرض، ليس لديهم أعراض ظاهرة وقد يعانون من أعراض خفية "دون الإكلينيكية" فقط، فهذه العدوى تكون في إفرازات مجرى البول القيحي لدى الرجال، ومرض التهاب الحوض والحمل خارج الرحم لدى النساء، لكن هؤلاء الأفراد يشكلون تهديدًا خطيرًا للصحة العامة، حيث تحدث حوالي 92 مليون حالة جديدة من الكلاميديا على مستوى العالم كل عام.

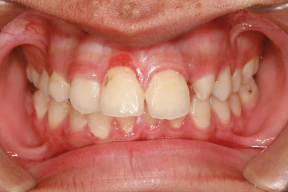
4. نزيف اللثة: تذهب البكتيريا في طريقها إلى اللثة، فإذا لم تكن موجودة بالفعل، تتكاثر وتسهم في تراكم شريط أصفر على أسنانك، ونتيجة هذا الغزو التهاب اللثة، وهي حالة تصيب ما لا يقل عن 70 إلى 90 في المئة من المراهقين في جميع أنحاء العالم، أما عند البالغين فقد يؤدي استمرار سوء النظافة الفموية إلى حدوث التهاب اللثة وفقدان الأسنان في نهاية المطاف، حيث أن بعض الناس معرضون لهذه الحالة، وإذا كان هذا لا يكفي لإقناعك بالاهتمام بأسنانك، فاعتبر أن صحة الفم السيئة مرتبطة بأمراض القلب والأوعية الدموية.

5. التهاب المعدة والأمعاء الفيروسي: إنفلونزا المعدة أو كما تعرف بـ"القيء الشتوي" أو التهاب المعدة والأمعاء الفيروسي، وهو مرض معدي حاد في القناة التي يدخل بها الطعام بجسم الإنسان، حيث أن هناك العديد من الفيروسات شديدة العدوى التي تسبب هذا الالتهاب، ولكن فيروس الروتا هو أحد أكثر الأسباب شيوعًا، فعند الرضع والأطفال في جميع أنحاء العالم، هو السبب الأكثر شيوعا للإسهال الحاد، وفقًا لمنظمة الصحة العالمية، حيث تقول المراكز الأمريكية لمكافحة الأمراض إنه قبل إدخال لقاح فيروس الروتا في عام 2006، كان كل طفل في البلاد مصابا بهذه العدوى في سن الخامسة، إذ ينتقل التهاب المعدة والأمعاء الفيروسي في المقام الأول عن طريق الفم أو عن طريق البراز، والذي يشمل تناول المحار الملوث بمياه الصرف الصحي.