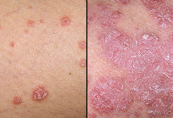
الصدفية مرض مناعي ذاتي مزمن نتيجة النمو غير الطبيعي للجلد ويؤدى لظهور القشور عادة على الكوعين والركبتين والرأس وقد تمتد لمناطق أخرى بالجسم. والمعروف ان هناك عدة عوامل تؤدي الى زيادة حدة المرض مثل مرور الشخص بحالة توتر وقلق وكذلك في الشتاء وعند تناول بعض الأطعمة التي تسبب الالتهابات. فماذا يمكن للمريض ان يفعله ليخفف من اعراض المرض؟
تخفيف اعراض الصدفية في الشتاء:
بما أن الطقس البارد يزيد من معاناة مريض الصدفية، وخاصة آلام المفاصل (التهاب المفاصل الصدفي)، ينصح الأطباء المصاب بالحصول على التدفئة اللازمة في الأيام الباردة لتقليل أعراض الصدفية، كذلك يساعد كثيرا التعرض لضوء الشمس ويلجأ البعض الى العلاج باستخدام ضوء الأشعة فوق البنفسجية التي تخترق الجلد المصاب وتساهم في إزالة الأعراض المرضية ومنع حدوث مضاعفات مستقبلية..
هذه المأكولات تزيد من أعراض الصدفية!
تؤدي الأطعمة الضارة الى المزيد من المضاعفات التي تورط مريض الصدفية في مشاكل هو في غنى عنها ويتفاقم الوضع بشكل أسوأ، لهذا فأن اتباع نظام غذائي صحي هام جدا لمريض الصدفية. اما المأكولات التي يجب تجنبها فهي:

- الوجبات السريعة: تحتوى على نسب عالية من الدهون والنشويات والسكريات وتعزز الالتهاب، لذلك فأن الأطعمة السريعة من الأطعمة التي على مريض الصدفية نجنبها..
- الجلوتين والخميرة: تشير الأبحاث إلى أن الذين يعانون من مرض الاضطرابات الهضمية والحساسية تجاه الجلوتين، معرضين لخطر الإصابة بالصدفية، لذلك يوصى بتناول أغذية خالية من الجلوتين لأنها قد تؤدي لزيادة حدة الأعراض. والخميرة أيضا تؤدي لتفاقم الأعراض.

- اللحوم الحمراء: تحتوي على الكثير من المواد الدهنية التى يمكنها أن تسبب التهابات، والصدفية هى مرض التهابي، لذا يجب تجنب تناول الدهون واختيار الأطعمة التي تقاوم الالتهابات.

- الألبان ومنتجاتها: المقصود هو لأن الألبان عالية الدسم لأنها يمكن أن تسبب التهابات، خاصة إذا كان المصاب يعاني من حساسية الجلد ، ويمكن لمريض الصدفية اختيار منتجات الألبان القليلة الدسم.



